Phẫu thuật cắt lá lách “khổng lồ” tắc mạch dọa vỡ nguy hiểm cho cụ bà 70 tuổi
(Cập nhật: 11/5/2021)
Ngày 10/5, các bác sĩ ngoại khoa của Bệnh viện Đa khoa tỉnh Quảng Ninh đã phẫu thuật cấp cứu cắt bỏ thành công lá lách kích thước “khủng” dọa vỡ nguy hiểm do tắc mạch cho một cụ bà 70 tuổi.
Bệnh nhân là Nguyễn Thị H. (70 tuổi) ở huyện Cô Tô, Quảng Ninh. Bệnh nhân có tiền sử điều trị bệnh rối loạn sinh tủy nhiều năm. Theo gia đình cho biết, bà H. đi khám phát hiện lách to cách đây 3 năm, khoảng 1 tháng gần đây bụng chướng to bất thường, tình trạng mệt mỏi, đau bụng ngày càng tăng nên được chuyển đến Bệnh viện Đa khoa tỉnh điều trị.

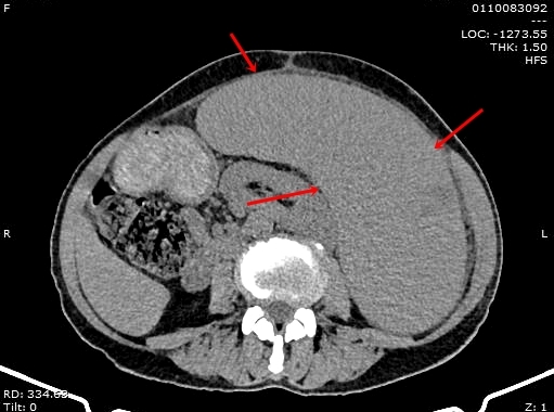
Hình ảnh chụp cắt lớp lá lách kích thước “khủng” chiếm hơn nửa ổ bụng của bệnh nhân H.
Kết quả chụp cắt lớp vi tính cho thấy hình ảnh lá lách rất to, kích thước 21 x 30 cm, chiếm nửa ổ bụng, kéo dài đến hố chậu, một phần lách bị nhồi máu do tắc mạch. Các bác sĩ chẩn đoán bệnh nhân bị lách to độ IV, nhồi máu lách trên bệnh nhân rối loạn sinh tuỷ, cần thực hiện phẫu thuật cấp cứu cắt lách để tránh nguy cơ hoại tử và vỡ lách gây mất máu cấp dẫn đến tử vong cao.
Kíp mổ khoa Ngoại do Ths.Bs Phạm Việt Hùng – Trưởng khoa và các bác sĩ trong khoa phối hợp cùng kíp Gây mê hồi sức thực hiện. Bệnh nhân được mở bụng kiểm tra thấy lá lách kích thước “khủng” căng cứng, sẫm màu chiếm hơn nửa ổ bụng, trên khối lách có đám nhồi máu đang hoại tử và thấm máu ra ổ bụng được các mạc nối đến bọc lại, các mạch của lá lách giãn lớn.
Lá lách “khổng lồ” dọa vỡ được kíp bác sĩ khoa Ngoại cắt bỏ thành công.
Các phẫu thuật viên tiến hành thắt động mạch lách trước để tránh mất máu trong quá trình gỡ lách ra khỏi các tổ chức, sau đó bóc tách giải phóng khối lách ra ngoài ổ bụng rồi cắt bỏ. Lá lách “khổng lồ” nặng hơn 4,7 kg, dài hơn 30 cm đã được cắt bỏ hoàn toàn sau hơn 1 tiếng phẫu thuật. Do quá trình xử trí nhanh chóng nên bệnh nhân không bị mất máu nhiều. Hậu phẫu ngày thứ nhất, sức khỏe bà H. tiến triển tích cực, hết đau bụng, ăn uống được, các chỉ số xét nghiệm ổn định.
Ths.Bs Phạm Việt Hùng – Trưởng khoa Ngoại, Bệnh viện ĐK tỉnh Quảng Ninh cho biết: “Phẫu thuật cắt lách là kỹ thuật thông thường ở các tuyến bệnh viện, tuy nhiên với lá lách “khổng lồ” đang trong tình trạng nhồi máu như bệnh nhân H. thì thường dính, chướng to, rất dễ chảy máu trong cuộc mổ. Đây sẽ là một thảm hoạ vì nếu chảy máu ồ ạt từ khối lách chứa đầy máu thì bệnh nhân có thể tử vong ngay trên bàn phẫu thuật. Thành công của ca mổ là nhờ sự chuẩn bị kỹ càng, cẩn trọng tỉ mỉ trong quá trình phẫu thuật cũng như phối hợp chặt chẽ với các bác sĩ gây mê hồi sức để kiểm soát tốt cuộc mổ, không để tình trạng chảy máu xảy ra”.

Lá lách của bệnh nhân H. to gấp 20 lần so với lá lách bình thường ở người khỏe mạnh.
Lách to là do hậu quả của nhiều bệnh lý về máu, trường hợp này lá lách phải làm việc quá mức để tiêu huỷ các tế bào máu dẫn đến phì đại. Khi lách quá to sẽ có nhiều nguy cơ, đặc biệt là dọa vỡ gây mất máu cấp. Trường hợp lách to nhanh và đau nhiều là tình trạng tắc mạch trong lách nên bệnh nhân cần được phẫu thuật gấp. Tuy nhiên, sau khi cắt bỏ lá lách người bệnh có thể gặp phải một số biến chứng về nhiễm trùng gây nguy hiểm do lách đóng vai trò trong hệ miễn dịch, khi bị cắt bỏ toàn bộ lá lách, bệnh nhân vẫn sống được nhưng dễ suy yếu hệ miễn dịch. Vì vậy, người bệnh sau phẫu thuật cần chú ý về chế độ dinh dưỡng và sinh hoạt lành mạnh để duy trì sức khỏe về sau.
Những trường hợp bệnh nhân cao tuổi, có nhiều bệnh lý đi kèm sẽ gây khó khăn cho khi tiến hành phẫu thuật vì nguy cơ tử vong trong và sau mổ cao. Với đội ngũ phẫu thuật viên có trình độ chuyên môn cao, kỹ năng tay nghề thuần thục cùng sự phối hợp nhịp nhàng giữa các chuyên khoa thì không chỉ có trường hợp bệnh nhân H. mà nhiều ca mổ phức tạp, nặng nề khác cho các đối tượng người cao tuổi vẫn luôn đạt kết quả khả quan, góp phần nâng cao chất lượng điều trị tại đơn vị y tế tuyến cuối tỉnh.
Các bác sĩ Bệnh viện Đa khoa tỉnh khuyến cáo: Người dân nên thường xuyên khám sức khỏe định kì và khám ngay khi có các triệu chứng như: đau chướng bụng, tự sờ thấy khối bất thường… Việc phát hiện muộn sẽ khiến bệnh nặng nề, gây khó khăn cho bác sĩ trong việc điều trị bệnh triệt để./.
Phòng TT&HCQT
(Lượt đọc: 2622)
Tin tức liên quan
- Siết chặt kiểm soát ''bảo vệ'' bệnh viện tuyến cuối của Quảng Ninh
- Bệnh viện Đa khoa tỉnh đảm bảo cung cấp dịch vụ xét nghiệm Covid-19 thiết lập ''lá chắn'' phòng dịch sau nghỉ lễ
- Phẫu thuật nang đường mật ''khổng lồ'' cho sản phụ người dân tộc thiểu số
- Sở Y tế tri ân 4 Thầy thuốc ưu tú của Bệnh viện Đa khoa tỉnh tại Hội nghị sơ kết quý 1 năm 2021
- Bệnh viện Đa khoa tỉnh Quảng Ninh tổ chức tập huấn nghiệp vụ phòng cháy, chữa cháy năm 2021
- Tổng kết lớp điện tâm đồ cơ bản và triển khai công tác chỉ đạo tuyến tại TTYT Cô Tô năm 2021
- Bệnh viện Đa khoa tỉnh Quảng Ninh triển khai tiêm vắc xin Covid-19 cho nhân viên y tế
- Quyết định về việc phê duyệt danh mục và tài liệu đào tạo liên tục năm 2021
- Tiếp đoàn Bệnh viện Đa khoa tỉnh Ninh Bình đến giao lưu học tập kinh nghiệm
- Bệnh nhân vượt ngàn cây số đến Quảng Ninh phẫu thuật ung thư
- Tiêu điểm
- Tin đọc nhiều













202521016343.jpg)








