Phòng khám răng hàm mặt theo yêu cầu: Địa chỉ nha khoa tin cậy cho người dân Quảng Ninh
(Cập nhật: 17/12/2021)
Tận dụng tối đa điều kiện thuận lợi về nguồn nhân lực chất lượng cao cùng hệ thống máy móc, trang thiết bị công nghệ hiện đại, phòng khám Răng hàm mặt đã triển khai các dịch vụ nha khoa cao cấp theo yêu cầu ngày càng chuyên nghiệp, chất lượng trở thành địa chỉ nha khoa uy tín, tin cậy, mang đến nụ cười tự tin, rạng rỡ cho hàng nghìn bệnh nhân trên địa bàn.

Dịch vụ nha khoa cao cấp tại phòng khám Răng hàm mặt tại khoa Khám chữa bệnh theo yêu cầu.
Mỗi tháng, khoa Khám chữa bệnh theo yêu cầu tiếp đón, thăm khám và điều trị gần 200 lượt bệnh nhân mắc các bệnh lý về nha khoa cho mọi đối tượng, độ tuổi trên địa bàn. Phụ trách phòng khám là bác sĩ CKI Nguyễn Văn Tài – Phó trưởng khoa Khám chữa bệnh theo yêu cầu với 10 năm kinh nghiệm trong lĩnh vực Răng hàm mặt, được học tập và đào tạo bài bản tại trường Đại học Y Hà Nội và bệnh viện đầu ngành tuyến trung ương. Cùng hỗ trợ là đội ngũ bác sĩ khoa Răng hàm mặt giàu kinh nghiệm, trình độ chuyên môn cao sẽ phối hợp thăm khám, điều trị các ca khó, phức tạp. Nhờ việc tranh thủ được nguồn lực chất lượng cao, mà nhiều ca bệnh khó mắc kèm các bệnh nền phức tạp vẫn được điều trị với kết quả tốt, cải thiện đáng kể chất lượng cuộc sống người bệnh.
Phòng khám cung cấp các dịch vụ nha khoa từ cơ bản đến chuyên sâu, như: khám và điều trị bệnh răng miệng thông thường (bệnh sâu răng, các bệnh lý tủy răng, bệnh lý cuống răng…), nhổ răng khôn can thiệp tối thiểu giảm đau và không phải nằm viện điều trị, tiểu phẫu u/nang nhỏ vùng hàm mặt. Không chỉ điều trị các bệnh lý răng miệng, khắc phục những nhược điểm của hàm răng mà phòng khám còn triển khai các dịch vụ tẩy trắng răng, phục hình răng thẩm mỹ (Làm cầu chụp răng giả, cấy ghép implant) mang lại vẻ đẹp hoàn hảo cho khách hàng. Cùng với đó là thực hiện các phẫu thuật loại đặc biệt như kết hợp xương vùng hàm mặt điều trị chấn thương, gãy xương hàm trên, gò má cung tiếp, xương hàm dưới phức tạp. Nhiều trường hợp đến điều trị bệnh lý răng miệng thông thường đã được bác sĩ tại phòng khám phát hiện u vùng hàm mặt. Những bệnh nhân này được chẩn đoán nhanh chóng và phối hợp điều trị tích cực và kịp thời.
Bác sĩ CKI Nguyễn Văn Tài - Phó Trưởng khoa Khám chữa bệnh theo yêu cầu điều trị răng cho bệnh nhân tại phòng khám.
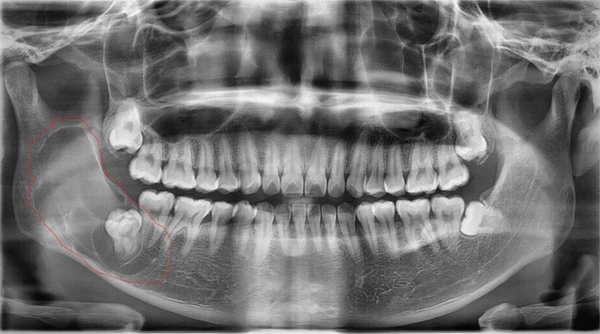
Như trường hợp của bệnh nhân T.Q.S (42 tuổi) ở phường Hồng Hải, TP Hạ Long, đi khám do sưng đau nhiều vùng má phải cách đây 1 tháng. Kiểm tra đánh giá tại phòng khám Răng hàm mặt của khoa Khám chữa bệnh theo yêu cầu, bác sĩ thấy khối sưng to vùng mang tai phải, viêm cuống răng 17, răng số 18 lệch ngầm. Nghi ngờ tính chất phức tạp của khối u, bác sĩ chỉ định thực hiện siêu âm, chụp cắt lớp vùng hàm mặt kết hợp chọc hút sinh thiết cho kết quả ung thư biểu mô tuyến nước bọt mang tai phải. Bệnh nhân được hội chẩn với Trưởng khoa Răng hàm mặt quyết định thực hiện phẫu thuật cắt u tuyến mang tai để kịp thời điều trị cho người bệnh. Sau ca phẫu thuật, bệnh nhân sức khỏe ổn định, vùng hàm mặt phải đỡ đau và sưng nề, được hội chẩn khoa Ung bướu để tiếp tục theo dõi điều trị sau mổ.
Bác sĩ CKI Nguyễn Văn Tài – Phó Trưởng khoa Khám chữa bệnh theo yêu cầu, phụ trách phòng khám răng cho biết: “Bệnh nhân đến phòng khám trong tình trạng đau răng, sưng to vùng má phải. Từ kinh nghiệm trong quá trình làm nghề, chúng tôi nghi ngờ tính chất khối u vùng mang tai phải không đơn thuần do sưng viêm răng nên đã thực hiện chỉ định làm các kỹ thuật cận lâm sàng để có chẩn đoán chính xác nhất. Sau khi phát hiện đây là ung thư biểu mô tuyến nước bọt, bệnh nhân đã được phẫu thuật điều trị kịp thời, tránh những biến chứng nguy hiểm vể sau”.

Bác sĩ phòng khám phát hiện nhiều trường hợp có khối u vùng hàm mặt.
Bên cạnh đó, phòng khám còn tiếp nhận điều trị, sửa chữa, phục hồi lại cho nhiều trường hợp chữa răng bị tai biến, triển khai các dịch vụ nhổ răng lệch ngầm gây mê theo yêu cầu với sự hỗ trợ đắc lực của kíp gây mê chuyên nghiệp. Đặc biệt là thực hiện phẫu thuật nha chu và điều trị răng cho những bệnh nhân cao tuổi, bệnh nhân có nhiều bệnh lý nền đi kèm mà nhiều phòng khám ngoài từ chối điều trị. Đây là những trường hợp thường mắc các bệnh lý mãn tính (tiểu đường, tim mạch, huyết áp, đái tháo đường), cần sự thận trọng khi điều trị, vì vậy bệnh nhân sẽ được thăm khám các chuyên khoa để kiểm soát bệnh lý nền ổn định, sau đó mới điều trị các bệnh lý về răng miệng, giữ an toàn tuyệt đối cho người bệnh.
Quy trình cấy ghép Implant được kiểm soát nghiêm ngặt về môi trường vô trùng, đảm bảo an toàn cao nhất cho bệnh nhân.
“Những bệnh nhân cao tuổi, nhiều bệnh lý mãn tính đi kèm sẽ được điều trị tủy, nhổ răng, làm răng giả, cắm implant cải thiện chức năng ăn nhai, thẩm mỹ, giúp phát âm tròn vành rõ chữ, nhờ đó nâng cao chất lượng cuộc sống người bệnh, giảm nguy cơ viêm mô tế bào vùng răng miệng – một biến chứng rất nguy hiểm do tổn thương viêm, nhiễm trùng không được điều trị kịp thời. Ngoài giờ hành chính, phòng khám còn phục vụ người dân đến khám bệnh cả thứ 7 và chủ nhật. Với mỗi ca bệnh, chúng tôi sẽ có phác đồ điều trị tối ưu với chi phí hợp lý nhất. Các quy trình điều trị, phục hình răng, chỉnh nha… đều được thực hiện theo đúng tiêu chuẩn, tuân thủ quy định nghiêm ngặt về môi trường vô trùng, đảm bảo an toàn và hiệu quả cao nhất cho người bệnh”, bác sĩ Tài cho biết thêm.
Để tạo nền tảng kỹ thuật cao hỗ trợ chẩn đoán chính xác và tăng hiệu quả điều trị cho người bệnh, phòng khám được đầu tư hệ thống cơ sở vật chất, máy móc, trang thiết bị đồng bộ, hiện đại từ những tập đoàn nha khoa uy tín trên thế giới, hỗ trợ đắc lực cho các bác sĩ thăm khám chẩn đoán, đánh giá toàn diện về răng, như: Máy X-quang răng toàn hàm Panorama, máy chụp cắt lớp vi tính đa dãy, máy chụp cộng hửng từ để khảo sát những bất thường vùng hàm mặt, chẩn đoán chính xác các khối u trong xương hàm, các răng mọc lệch ngầm, đo đạc xương giúp thực hiện chỉnh nha và cấy ghép implant một cách tốt nhất. Thời gian tới, bệnh viện trang sắm đầu tư máy phẫu thuật siêu âm piezotome giúp giảm sưng nề, giảm đau sau phẫu thuật, nhờ vậy rút ngắn thời gian nằm viện điều trị cho người bệnh.
Đội ngũ bác sĩ, điều dưỡng phục vụ thân thiện, chuyên nghiệp.

Không gian phòng khám tiện nghi, sạch sẽ.
Bằng sự tận tâm, nhiệt tình và tinh thần trách nhiệm cao, đội ngũ bác sĩ, điều dưỡng của phòng khám Răng hàm mặt cũng như khoa Khám chữa bệnh theo yêu cầu luôn nỗ lực hết mình vì người bệnh để mang đến kết quả điều trị tối ưu nhất, giúp họ lấy lại hàm răng chắc khỏe, nụ cười rạng rỡ và sự tự tin trong cuộc sống. Thời gian tới, phòng khám sẽ ứng dụng triển khai nhiều kỹ thuật nha khoa chuyên sâu nhằm mang đến những dịch vụ y tế chất lượng cao với tác phong phục vụ thân thiện, chuyên nghiệp, đáp ứng nhu cầu chăm sóc sức khỏe răng miệng toàn diện của người dân về một địa chỉ khám và điều trị nha khoa uy tín, tin cậy trên địa bàn./.
|
* Địa điểm: Phòng khám 1.6, Tầng 1 nhà D, Khoa Khám chữa bệnh theo yêu cầu. * Thời gian hoạt động: Từ Thứ 2 đến Chủ nhật Sáng: 7h30 -12h00 Chiều: 13h00 – 16h30 * Để được tư vấn về dịch vụ nha khoa theo yêu cầu, mời liên hệ với bác sĩ CKI Nguyễn Văn Tài, Phó Trưởng khoa Khám chữa bệnh theo yêu cầu, Bệnh viện Đa khoa tỉnh Quảng Ninh, số điện thoại: 0388.268.812 |
Phòng Truyền thông và HCQT
(Lượt đọc: 4219)
Tin tức liên quan
- Tra cứu kết quả khám trực tuyến: Lợi ích nhân đôi
- Bệnh viện Đa khoa tỉnh Quảng Ninh chủ động kiểm soát, ''khoá chặt'' nguồn lây dịch bệnh
- Bệnh viện Đa khoa tỉnh Quảng Ninh tổ chức Hội thi Điều dưỡng - Hộ sinh giỏi năm 2021
- Phối hợp liên viện cấp cứu sản phụ chảy máu ồ ạt do đờ tử cung thoát khỏi ''cửa tử''
- Bệnh viện Đa khoa tỉnh Quảng Ninh hồi sinh 6 trái tim lỗi nhịp
- Bệnh viện Đa khoa tỉnh Quảng Ninh: Ứng dụng robot cầm tay công nghệ 4.0 trong phẫu thuật nội soi
- Bệnh viện Đa khoa tỉnh Quảng Ninh cảnh báo tình trạng kháng kháng sinh
- Bệnh viện Đa khoa tỉnh Quảng Ninh nỗ lực quan tâm sức khỏe người dân vùng sâu, vùng xa
- Bệnh viện Đa khoa tỉnh tổng kết lớp đào tạo Holter điện tâm đồ tại Bệnh viện Đa khoa Cẩm Phả
- Phòng chống kháng thuốc
- Tiêu điểm
- Tin đọc nhiều













202521016343.jpg)








