Phút cân não trong phòng can thiệp cứu cụ ông 86 tuổi sốc tim nguy kịch
(Cập nhật: 4/2/2026)
Trong phòng can thiệp tim mạch, những nguy cơ luôn hiện hữu, đặc biệt với người bệnh cao tuổi, áp lực đặt lên các bác sĩ càng lớn. Mỗi ca can thiệp cấp cứu là những phút “cân não” để giữ lại sự sống cho người bệnh, giúp họ có cơ hội trở về bên gia đình. Các bác sĩ Bệnh viện Đa khoa tỉnh Quảng Ninh vừa qua đã can thiệp cấp cứu thành công cho bệnh nhân 86 tuổi bị nhồi máu cơ tim biến chứng sốc tim vô cùng nguy kịch.
Bệnh nhân P.V.P (86 tuổi) trú tại phường Quang Hanh, tỉnh Quảng Ninh, nhập viện với cơn đau tức ngực dữ dội. Các bác sĩ chẩn đoán cụ P. bị nhồi máu cơ tim cấp, biến chứng sốc tim, nguy cơ tử vong cao.
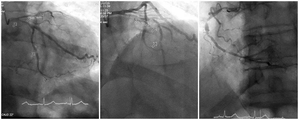
Với sự đồng thuận của gia đình, người bệnh lập tức được chuyển đến phòng can thiệp trong tình trạng huyết động không ổn định, chức năng tim suy giảm rõ rệt, đòi hỏi phải xử trí khẩn trương và chính xác. Kết quả chụp mạch vành cho thấy mức độ tổn thương nặng cả ba thân động mạch vành. Động mạch liên thất trước hẹp tới 90–99%, gần như tắc hoàn toàn; động mạch mũ và động mạch vành phải hẹp 80–90%, thành các mạch vôi hóa nhiều.

Hình ảnh tổn thương nặng 3 thân động mạch vành
TTƯT.BsCKII Trần Quang Định, Trưởng khoa Phẫu thuật và Can thiệp Tim mạch, Bệnh viện Đa khoa tỉnh Quảng Ninh đánh giá: Đây là ca can thiệp khó. Người bệnh đã ở tuổi 86, thể trạng gầy yếu, lại rơi vào tình trạng sốc tim. Hệ mạch vành vôi hóa nặng khiến việc đưa dây dẫn và dụng cụ qua các tổn thương tiềm ẩn nhiều nguy cơ. Nếu không tái thông được mạch vành kịp thời, vùng cơ tim sẽ tiếp tục hoại tử, nguy cơ tử vong rất cao. Ngược lại, thao tác can thiệp thiếu thận trọng cũng có thể gây biến chứng nguy hiểm ngay trên bàn can thiệp.
Trước tình thế đó, kíp bác sĩ khoa Phẫu thuật và Can thiệp Tim mạch, Bệnh viện Đa khoa tỉnh Quảng Ninh nhanh chóng hội chẩn, lựa chọn chiến lược phù hợp nhất với mục tiêu nhanh chóng tái thông mạch vành song vẫn đảm bảo an toàn tối đa cho người bệnh. Kíp can thiệp tập trung xử trí tổn thương nặng, luồn dây dẫn qua đoạn mạch bị vôi hóa, sử dụng dụng cụ chuyên dụng để nong bóng, từng bước mở lại lòng mạch bị hẹp nặng.
.jpg)
Đoạn mạch hẹp tắc tái thông sau can thiệp nong bóng và đặt stent
Việc vượt qua các đoạn mạch vôi hóa cứng là thách thức lớn, song bằng kinh nghiệm và sự kiên trì, các bác sĩ đã đặt thành công stent vào đoạn động mạch liên thất trước bị nặng nề nhất, giúp tái thông dòng máu nuôi tim. Sau can thiệp, tình trạng huyết động của người bệnh dần cải thiện, nhịp tim ổn định, hết đau tức ngực.
Cùng với nỗ lực chuyên môn của đội ngũ y tế là sự tin tưởng, phối hợp của gia đình người bệnh. Trong thời điểm quyết định, người nhà đã đồng thuận, ủng hộ phương án điều trị của các bác sĩ Bệnh viện Đa khoa tỉnh, mong muốn giữ cơ hội để ông khỏe mạnh trở về sum vầy bên gia đình trong dịp Tết sắp đến gần.

Bác sĩ khoa Phẫu thuật và Can thiệp Tim mạch kiểm tra sức khỏe trước khi cụ ông 86 tuổi xuất viện trở về cùng gia đình
Phía sau cánh cửa phòng can thiệp là những phút “cân não” đầy thử thách, nơi đội ngũ bác sĩ phải đối diện với các quyết định khó khăn để giành lại sự sống cho người bệnh. Mỗi ca bệnh đều tiềm ẩn những diễn biến phức tạp, khó lường, đặc biệt ở người cao tuổi với nền bệnh nặng và nguy cơ biến chứng cao. Tuy vậy, các bác sĩ luôn nỗ lực tận dụng mọi cơ hội cứu chữa cho người bệnh. Dịp Tết Bính Ngọ đang cận kề, những nỗ lực điều trị cho người cao tuổi càng mang ý nghĩa lớn lao, góp phần gắn kết con cháu trong những ngày gia đình sum vầy.
Ca can thiệp thành công cho bệnh nhân 86 tuổi nhồi máu cơ tim biến chứng sốc tim tiếp tục khẳng định năng lực chuyên môn, kinh nghiệm và bản lĩnh của đội ngũ y bác sĩ Bệnh viện Đa khoa tỉnh Quảng Ninh trong xử trí các ca tim mạch phức tạp, góp phần cứu sống người bệnh ngay tại tỉnh nhà.
Phòng TT&HCQT
(Lượt đọc: 129)
Tin tức liên quan
- TỔ CHỨC KẾT NẠP ĐẢNG VIÊN NHÂN DỊP KỶ NIỆM 96 NĂM THÀNH LẬP ĐẢNG CỘNG SẢN VIỆT NAM (03/02/1930 - 03/02/2026)
- THÔNG BÁO BỆNH VIỆN ĐA KHOA TỈNH QUẢNG NINH CƠ SỞ 2 MỞ RỘNG 4 PHÒNG KHÁM CHUYÊN KHOA SÂU
- BỆNH VIỆN ĐA KHOA TỈNH QUẢNG NINH TỔ CHỨC ĐÀO TẠO KHÓA CẤP CỨU CƠ BẢN CHO CÁC TRẠM Y TẾ TRÊN ĐỊA BÀN TỈNH
- Phòng An ninh chính trị nội bộ – Công an tỉnh Quảng Ninh cùng các nhà hảo tâm trao tặng quà cho người bệnh có hoàn cảnh khó khăn tại Bệnh viện Đa khoa tỉnh Quảng Ninh
- BỆNH VIỆN ĐA KHOA TỈNH QUẢNG NINH ĐÓN NHẬN CHỨNG CHỈ ISO 15189:2022
- BỆNH VIỆN ĐA KHOA TỈNH QUẢNG NINH HỖ TRỢ CHUYÊN MÔN CHO 5 TRẠM Y TẾ TRÊN ĐỊA BÀN TỈNH
- CHUNG KHẢO CUỘC THI ỨNG DỤNG CHUYỂN ĐỔI SỐ VÀ TRÍ TUỆ NHÂN TẠO TẠI BỆNH VIỆN ĐA KHOA TỈNH QUẢNG NINH
- BỆNH VIỆN ĐA KHOA TỈNH QUẢNG NINH TỔ CHỨC HỘI THẢO KHOA HỌC QUỐC TẾ “NHỮNG TIẾN BỘ TRONG PHẪU THUẬT THAY KHỚP HÁNG TOÀN PHẦN ÍT XÂM LẤN”
- Bệnh viện Đa khoa tỉnh Quảng Ninh ký kết công tác chỉ đạo tuyến với các bệnh viện tuyến dưới
- CÁN BỘ, ĐẢNG VIÊN ĐẢNG BỘ BỆNH VIỆN ĐA KHOA TỈNH QUẢNG NINH HƯỚNG VỀ ĐẠI HỘI XIV CỦA ĐẢNG
- Tiêu điểm
- Tin đọc nhiều













202521016343.jpg)








