Phẫu thuật cấp cứu thành công bé gái 11 tháng tuổi ngã nứt xương sọ, tụ máu não
(Cập nhật: 4/3/2023)
Phẫu thuật sọ não là một phẫu thuật nặng nề và phức tạp, chuyên sâu đối với cả người lớn, vì vậy phẫu thuật sọ não cho trẻ em là một thách thức đối với các phẫu thuật viên. Vừa qua, các bác sĩ khoa Phẫu thuật Thần kinh – Cột sống Bệnh viện Đa khoa tỉnh Quảng Ninh đã phẫu thuật cấp cứu thành công cho cháu bé 11 tháng tuổi bị nứt xương sọ, tụ máu não sau chấn thương.
Ca cấp cứu là trường hợp của bệnh nhi N.M.C (11 tháng tuổi), địa chỉ Từ Sơn, Bắc Ninh. Theo gia đình cho biết, trẻ trong khi chơi ở nhà không may bị ngã đập đầu xuống nền cứng. Sau ngã, bé C. vẫn tỉnh táo nhưng vùng đầu sưng nề, nôn mửa, quấy khóc nhiều. Ngay lập tức, gia đình đã chuyển bé lên Bệnh viện Đa khoa tỉnh Quảng Ninh cấp cứu.

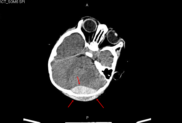
Hình ảnh chụp cắt lớp vi tính máu tụ sọ não của bệnh nhi 11 tháng tuổi
Qua kết quả thăm khám lâm sàng và hình ảnh chụp cắt lớp vi tính, các bác sĩ chẩn đoán bé C. bị chấn thương sọ não, máu tụ ngoài màng cứng đỉnh chẩm trái. Sau khi hội chẩn đa chuyên khoa Nhi, Gây mê hồi sức, Phẫu thuật Thần kinh – Cột sống, các bác sĩ chỉ định phẫu thuật cấp cứu mở hộp sọ lấy máu tụ, cầm máu và ghép lại ngay xương sọ cho bệnh nhi.
Các công tác chuẩn bị cho ca phẫu thuật của cháu C được thực hiện gấp rút, nhanh chóng và kịp thời. Kíp mổ do các bác sĩ khoa Phẫu thuật Thần kinh – Cột sống phối hợp với khoa Gây mê hồi sức tại phòng mổ đặc biệt. Đây là phòng mổ chuyên khoa phẫu thuật sọ não có đầy đủ trang thiết bị hiện đại, đồng bộ, như: kính vi phẫu, khoan mài kim cương gia tốc, khung gá đầu, bàn chỉnh hình, định vị không gian thần kinh.

Phòng mổ sọ não với đầy đủ trang thiết bị hiện đại, đồng bộ được chuẩn bị sẵn sàng để thực hiện phẫu thuật cho bệnh nhi.

Cuộc mổ sọ não với các trang thiết bị tiên tiến, hiện đại hỗ trợ phẫu thuật viên, đảm bảo an toàn tối đa cho người bệnh
Sau khi gây mê nội khí quản, phẫu thuật viên tiến hành bóc tách tổ chức dưới da bộc lộ xương sọ, thấy đường vỡ xương lan từ vùng chẩm trái lên đến đỉnh. Tiếp tục cắt xương xung quanh vùng máu tụ đã xác định từ trước. Bên dưới là nhiều máu tụ ngoài màng cứng vùng hố sau, chẩm và đỉnh trái; khối máu tụ đã tạm thời đông đặc nhưng vẫn đang có dấu hiệu chảy máu liên tục từ đường vỡ xương và xoang tĩnh mạch ngang. Kíp mổ lấy máu tụ ngoài màng cứng, thực hiện cầm máu nguồn chảy. Cuối cùng đặt lại xương, dẫn lưu và đóng vết mổ. Ca mổ diễn ra thuận lợi trong 2 giờ phẫu thuật. Sau mổ 1 ngày, bệnh nhi tỉnh táo, bú tốt không nôn.Đến nay, sức khoẻ tiến triển tốt, trẻ không quấy khóc, ăn ngủ và vận động bình thường, vết mổ khô.
Ánh lên niềm vui trong khóe mắt, bố bệnh nhi C. chia sẻ: “Khi cháu ngã, cả nhà “rụng rời chân tay”, vô cùng hoảng loạn và lo lắng. Khi vào viện, cháu được các bác sĩ thăm khám, cấp cứu tận tình, giải thích cặn kẽ và động viên tinh thần gia đình rất nhiều. Nóng ruột sau ca mổ, cả gia đình như vỡ òa trong hạnh phúc khi nhìn thấy con tỉnh, có thể ăn uống và vận động lại được như này. Các bác sĩ như đã sinh con tôi ra lần thứ hai, rất cảm ơn Bệnh viện Đa khoa tỉnh, đặc biệt là bác sĩ Dũng đã dốc sức cứu chữa cho cháu kịp thời”.
Đánh giá trường hợp này, bác sĩ CKII Nguyễn Tiến Dũng, Trưởng khoa Phẫu thuật Thần kinh – Cột sống, Bệnh viện Đa khoa tỉnh cho biết: “Việc thực hiện phẫu thuật cho bệnh nhi mới 11 tháng tuổi bị chấn thương gây tụ máu sọ não sẽ rất nhiều nguy cơ, bởi cháu bé mới 11 tháng tuổi, cơ thể và não bộ cháu bé vẫn đang quá trình hoàn thiện nên từ khâu gây mê hồi sức cho đến mọi thao tác khi thực hiện phẫu thuật phải rất cẩn trọng và tỉ mỉ. Chỉ cần không cẩn thận chạm vào các khu vực não bộ quan trọng (vùng ngôn ngữ, vận động) sẽ tác động không nhỏ đến các vùng chức năng của bệnh nhi, ảnh hưởng đến tương lai của đứa trẻ về sau. Nếu được chẩn đoán nhanh, cấp cứu phẫu thuật lấy máu tụ chính xác, kịp thời sẽ giảm thiểu tối đa các nguy cơ di chứng thần kinh, yếu liệt vận động về sau. Bệnh nhi được chúng tôi chăm sóc hậu phẫu tích cực, đảm bảo tốt nhất kết quả cuộc mổ và giúp sức khỏe bệnh nhi phục hồi nhanh”.

Bác sĩ Nguyễn Tiến Dũng kiểm tra sức khỏe cháu C. sau phẫu thuật.
Thời gian qua, các bác sĩ chuyên ngành Phẫu thuật Thần kinh – Cột sống cũng đã từng thực hiện phẫu thuật cho một vài bệnh nhi chỉ mới vài tháng tuổi bị chấn thương sọ não nguy hiểm. Đây đều là những ca mổ cho những bệnh nhi rất bé, đòi hỏi đội ngũ phẫu thuật viên có tay nghề vững vàng, giàu kinh nghiệm, trình độ chuyên môn sâu để có thể xử trí tổn thương tự tin và chính xác, mang lại hy vọng sống khỏe mạnh cho trẻ khi được cấp cứu tại chỗ trong khoảng “thời gian vàng”, không để lại di chứng.
Bệnh viện Đa khoa tỉnh Quảng Ninh thường xuyên tiếp nhận nhiều trường hợp trẻ bị chấn thương sọ não, cột sống nguy hiểm do ngã từ trên giường xuống hay do vật cứng rơi đầu… gây chấn thương sọ não, sột sống rất nguy hiểm. Do vậy, các bác sĩ khuyến cáo việc để mắt, trông chừng đến trẻ thường xuyên cần được các bậc phụ huynh đặc biệt lưu tâm để đảm bảo an toàn cho trẻ. Nếu không may tai nạn xảy ra, gia đình cần theo dõi sát tình trạng ý thức của trẻ và các biểu hiện bất thường (đau đầu, nôn, liệt…) song không nên chủ quan kể cả khi trẻ chưa có triệu chứng cụ thể. Nếu nghi ngờ chấn thương sọ não cần đưa trẻ tới ngay cơ sở y tế để được khám và xử lý kịp thời./.
Hà Trang, phòng TT&HCQT
(Lượt đọc: 938)
Tin tức liên quan
- Đẩy mạnh công tác đào tạo - chỉ đạo tuyến: Tạo đột phá chuyên ngành Răng hàm mặt
- Bệnh viện Đa khoa tỉnh Quảng Ninh tổ chức chương trình đào tạo ''Cập nhật chẩn đoán và điều trị các bệnh truyền nhiễm''
- Thầm lặng những bác sĩ gây mê hồi sức
- Bệnh viện Đa khoa tỉnh Quảng Ninh tri ân kỷ niệm 68 năm Ngày Thầy thuốc Việt Nam 27/2
- Bệnh viện Đa khoa tỉnh Quảng Ninh tổng kết khóa đào tạo ''Kỹ thuật tổng phân tích nước tiểu" tại TTYT Hải Hà
- Bí thư Tỉnh ủy gặp mặt tri ân các cán bộ, thầy thuốc tiêu biểu ngành Y tế Quảng Ninh nhân kỷ niệm 68 năm Ngày Thầy thuốc Việt Nam 27/2
- Lãnh đạo thành phố thăm và chúc mừng Bệnh viện Đa khoa tỉnh Quảng Ninh nhân ngày 27/2
- Làm chủ kỹ thuật mổ tim hở, cứu sống hàng trăm bệnh nhân
- Sôi nổi, hấp dẫn với Giải Thể thao hướng tới kỷ niệm 68 năm ngày Thầy thuốc Việt Nam 27/2
- Phẫu thuật bóc tách khối u vú trái nặng 3kg cho nữ bệnh nhân 50 tuổi
- Tiêu điểm
- Tin đọc nhiều













202521016343.jpg)








