Bệnh viện Đa khoa tỉnh làm chủ kỹ thuật nội soi đặt thanh nâng lõm ngực: Cơ hội giúp trẻ thoát khỏi nỗi khổ “lồng ngực phễu”
(Cập nhật: 29/9/2022)
Mới đây, Bệnh viện Đa khoa tỉnh Quảng Ninh tiếp tục thực hiện thêm ca phẫu thuật nội soi đặt thanh nâng chỉnh hình cho bệnh nhân 16 tuổi bị lõm ngực bẩm sinh với kết quả tốt. Việc làm chủ và triển khai hiệu quả kỹ thuật này đã giúp nhiều trẻ thoát khỏi nỗi khổ "lồng ngực phễu", góp phần mang lại sự tự tin, cải thiện sức khỏe và chất lượng cuộc sống về sau.
Lõm ngực xương ức là một dị tật bẩm sinh của lồng ngực, do sự phát triển bất thường của xương ức và các sụn sườn làm cho lồng ngực bị lõm xuống. Tỷ lệ mắc ở nam giới nhiều gấp 4 lần nữ giới. Lõm ngực tùy theo mức độ bệnh sẽ gây ra các vấn đề về hô hấp, tuần hoàn do tim phổi bị chèn ép và ảnh hưởng đến thẩm mỹ. Vì vậy, việc điều trị là khuyến cáo chung đối với những người bị lõm ngực bẩm sinh.

Phương pháp nội soi đặt thanh nâng chỉnh hình điều trị lõm ngực.
Hiện nay, phẫu thuật nội soi đặt thanh nâng kim loại là phương pháp điều trị toàn diện, an toàn và mang lại hiệu quả tối ưu. Phẫu thuật làm thay đổi chiều hướng phát triển và hạn chế sự xâm lấn của khối xương biến dạng vào trong lồng ngực, song vẫn bảo toàn được thể tích của lồng ngực, không gây tổn thương phần xương nào. Bởi vậy người bệnh gần như không mất máu, ít đau đớn, thời gian hồi phục nhanh, tính thẩm mỹ cao. Phẫu thuật này do bác sĩ Donal Nuss (còn gọi là phẫu thuật Nuss), thực hiện lần đầu tiên năm 1987, đến nay kỹ thuật này đã phổ biến khắp thế giới và cũng được triển khai hiệu quả trong điều trị lõm ngực bẩm sinh tại nhiều bệnh viện tuyến trung ương ở nước ta.
Với hy vọng mang lại cơ hội điều trị tốt nhất cho người bệnh, Bệnh viện Đa khoa tỉnh Quảng Ninh đã quyết tâm ứng dụng triển khai phẫu thuật nội soi đặt thanh nâng chỉnh hình điều trị cho những trường hợp lõm ngực bẩm sinh. Sau quá trình trau dồi, học tập dưới sự hướng dẫn hỗ trợ của tuyến trung ương, đến nay Bệnh viện Đa khoa tỉnh đã làm chủ kỹ thuật nội soi đặt thanh nâng kim loại với kết quả điều trị khả quan.
Kíp bác sĩ thực hiện nội soi 3D đặt thanh nâng chỉnh hình cho bệnh nhân A.
Như trường hợp vừa được phẫu thuật nâng lõm ngực mới đây của bệnh nhân N.V.A (16 tuổi) ở Biên Hòa, Đồng Nai. Theo gia đình cho biết, cháu bị lõm ngực từ nhỏ, thỉnh thoảng khó thở khi vận động. Nghĩ rằng bệnh lý này không ảnh hưởng đến sức khỏe nên chưa can thiệp điều trị gì, tuy nhiên càng lớn vùng ngực cháu A. càng lõm sâu, co kéo biến dạng khiến sống lưng gù vẹo, gây mất thẩm mỹ, thiếu tự tin và ngại giao tiếp với bạn bè cùng trang lứa. Đặt niềm tin vào các bác sĩ Bệnh viện Đa khoa tỉnh Quảng Ninh, gia đình đã đưa cháu đến đây điều trị với hy vọng sớm phục hồi lại lồng ngực bình thường cho em. Sau khi thăm khám tổng quát kỹ càng, các bác sĩ quyết định phẫu thuật nội soi đặt thanh nâng kim loại điều trị lõm xương ức bẩm sinh, giúp bệnh nhân tự tin hơn, cải thiện sức khỏe và chất lượng cuộc sống về sau.
Ca mổ được thực hiện bởi đội ngũ bác sĩ khoa ngoại có tay nghề, kinh nghiệm trong phẫu thuật lồng ngực phối hợp với khoa gây mê hồi sức. Phẫu thuật viên tiến hành rạch hai đường ngắn (khoảng 2cm) ở dọc khoang liên sườn hai bên. Dưới hướng dẫn của hệ thống nội soi 3D, bác sĩ khéo léo tạo đường hầm sau xương ức, sau đó luồn một thanh kim loại cứng được uốn cong phù hợp với hình dạng ngực để làm giá đỡ nâng vùng xương ức bị lõm lên vị trí xác định. Thanh kim loại này có tác dụng nâng khối xương lên, giải phóng lồng ngực về đúng vị trí và định hướng cho khối xương phát triển bình thường mà không bị lõm vào trong. Ca phẫu thuật diễn ra nhanh chóng, thuận lợi trong 45 phút thực hiện. Sau phẫu thuật nội soi đặt thanh nâng chỉnh hình, lồng ngực bệnh nhi nở rộng bình thường, sức khỏe phục hồi tốt và xuất viện trong thời gian ngắn.

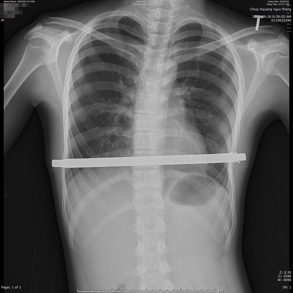
Hình ảnh chụp x-quang thanh nâng ngực.

Vùng ngực lõm của bệnh nhân A. được nâng lên tròn đầy sau phẫu thuật.
Dù đây là kỹ thuật mới được ứng dụng triển khai, song kíp mổ Bệnh viện Đa khoa tỉnh đã có thể thực hiện ca mổ độc lập mà không cần sự hỗ trợ của tuyến trên. Bác sĩ CKII Phạm Việt Hùng, Trưởng khoa Ngoại cho biết: “Với những kinh nghiệm có được trong nhiều ca phẫu thuật nội soi lồng ngực phức tạp trước đó đã giúp chúng tôi thực hiện ca phẫu thuật đặt thanh nâng chỉnh hình ngực lõm cho cháu A. tương đối thuận lợi. Biến chứng nguy hiểm nhất xảy ra trong mổ lõm ngực nặng là do chèn ép các cơ quan trong lồng ngực lâu ngày gây biến dạng giải phẫu nên khi luồn thanh đỡ có thể gây thủng tim, phổi, cơ hoành… Tuy nhiên, với sự hỗ trợ đắc lực của hệ thống nội soi 3D hiện đại và sự chuẩn bị cẩn trọng, kỹ lưỡng đã giúp chúng tôi tạo đường hầm và đặt thanh nâng an toàn mà không gây tổn thương phổi, các mạch máu, dây thần kinh quan trọng. Quan trọng là người bệnh khi điều trị tại đây sẽ ít tốn kém chi phí điều trị hơn so với lên tuyến trung ương hay mời các chuyên gia tuyên trên về thực hiện. Giúp người bệnh được điều trị bằng kỹ thuật tiên tiến, tối ưu với mức chi phí hợp lý nhất luôn là điều mong mỏi của bác sĩ chúng tôi.
Bệnh nhân có thể trở lại hoạt động bình thường sau mổ từ 7 – 10 ngày, tuy nhiên cần hạn chế hoạt động thể lực mạnh hay các môn thể thao đối kháng trong 2 tháng đầu để tránh làm di lệch thanh đỡ. Sau 2 – 3 năm, trẻ có thể tháo được thanh nâng ngực”.
Thanh nâng kim loại được uốn cong phù hợp với ngực của bệnh nhân.
Bệnh lõm ngực bẩm sinh nếu không điều trị kịp thời thì không chỉ gây biến dạng về mặt thẩm mỹ, làm đối tượng cảm thấy xấu hổ, tự ti và ngại giao tiếp, mà còn gây nhiều hệ lụy đến sức khỏe và sự phát triển. Ngực lõm làm thiếu không gian nên tim phổi dễ bị di lệch vị trí, không đảm bảo chức năng hoạt động, làm tác động xấu tới tuần hoàn máu và hô hấp của cơ thể, lâu dài thể lực dần suy yếu. Điều đáng ngại hơn, nếu những bệnh nhân này bị các bệnh cấp tính khác như: viêm phổi, sốt xuất huyết, nhiễm khuẩn huyết… thì rất dễ xảy ra biến chứng nặng nề và nguy cơ tử vong cao. Vì vậy, các bác sĩ khuyến cáo: Khi thấy trẻ có những bất thường vùng lồng ngực, cùng biểu hiện khó thở, mệt mỏi trong các hoạt động gắng sức, cần đưa đến bệnh viện uy tín, tin cậy để được khám, phát hiện và xử lý kịp thời.
Triển khai thành công ca đầu tiên từ tháng 8/2022 dưới hỗ trợ của tuyến trung ương, đến nay kíp phẫu thuật khoa Ngoại của Bệnh viện Đa khoa tỉnh Quảng Ninh đã thực hiện ca mổ độc lập với kết quả tốt, qua đó khẳng định việc làm chủ và triển khai hiệu quả kỹ thuật nội soi đặt thanh nâng chỉnh hình điều trị lõm ngực bẩm sinh của đội ngũ bác sĩ tuyến tỉnh. Để triển khai tốt kỹ thuật này, ngoài sự đầu tư về hệ thống trang thiết bị nội soi 3D hiện đại cùng các dụng cụ chuyên dụng, thì đội ngũ phẫu thuật viên còn là những bác sĩ có tay nghề, kinh nghiệm trong phẫu thuật lồng ngực, có thể vững vàng, tự tin triển khai và làm chủ kỹ thuật, nhạy bén xử trí bất cứ các tình huống xảy ra. Qua đó giúp trẻ không may bị lõm ngực bẩm sinh được thụ hưởng dịch vụ khám chữa bệnh kỹ thuật cao ngay tại tỉnh nhà mà không phải lên tuyến trung ương với kết quả điều trị an toàn và hiệu quả nhất, đồng thời tiết kiệm đáng kể chi phí điều trị./.
Hà Trang, Phòng TT&HCQT
(Lượt đọc: 1567)
Tin tức liên quan
- Bệnh viện Đa khoa tỉnh Quảng Ninh tổ chức Hội thi Bí thư chi bộ giỏi cấp cơ sở năm 2022
- Tôn vinh 4 trí thức khoa học công nghệ và 5 đề tài của Bệnh viện Đa khoa tỉnh được trao giải tại Hội thi Sáng tạo kỹ thuật tỉnh lần thứ VIII
- Tập huấn kỹ năng giao tiếp ứng xử cho 1000 cán bộ, nhân viên y tế Bệnh viện Đa khoa tỉnh Quảng Ninh
- Đào tạo thực hành kỹ thuật cắt tách dưới niêm mạc trong nội soi tiêu hoá (ESD) tại Bệnh viện Đa khoa tỉnh
- Bệnh viện Đa khoa tỉnh Quảng Ninh phát động hưởng ứng ngày An toàn người bệnh Thế giới năm 2022
- Sôi nổi ngày hội Hiến máu tình nguyện của tuổi trẻ Bệnh viện Đa khoa tỉnh Quảng Ninh
- Sở Y tế Quảng Ninh tổ chức chương trình đào tạo về hệ thống quản lý chất lượng xét nghiệm
- Tổng kết khóa đào tạo “Hội đồng, mạng lưới viên kiểm soát nhiễm khuẩn” tại Bệnh viện Đa khoa Cẩm Phả
- Trao quà Tết trung thu 2022 ấm áp cho bệnh nhi
- Bệnh viện Đa khoa tỉnh tổ chức khoá đào tạo “Tiếp cận chẩn đoán và điều trị rối loạn giấc ngủ”
- Tiêu điểm
- Tin đọc nhiều















202521016343.jpg)








